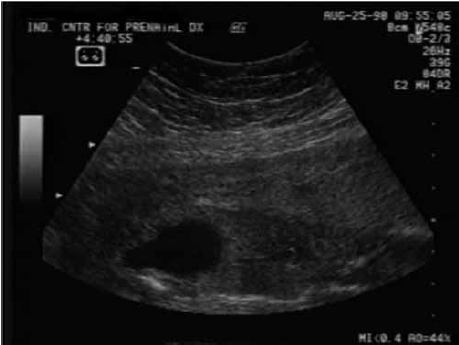
Paciente gestante, com 24 semanas e 4 dias de gestação, realiza ultrassonografia pré-natal que revela feto do sexo masculino, presença de hidronefrose bilateral, bexiga dilatada, com sinal do “buraco da fechadura”, conforme imagem a seguir:

O quadro apresentado é sugestivo de