Magna Concursos
Questões
Planos
Entrar
Entrar
Criar Conta
Respondida
3654144
Ano:
2025
Disciplina:
Medicina
Banca:
VUNESP
Orgão:
UNIFESP
Provas:
Médico - Cardiologia Pediátrica
Provas
×
Cardiologia
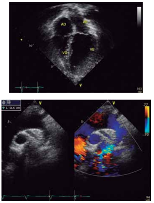
Analise a imagem a seguir.
(Arquivo pessoal; imagens usadas com autorização)
Em face do exposto, assinale a alternativa que apresenta, corretamente, o diagnóstico e o tratamento preconizado.
A
Estenose de artéria pulmonar direita; angioplastia percutânea com colocação de
stent
.
B
Persistência do canal arterial; fechamento percutâneo com
plug
vascular.
C
Coarctação de aorta; aortoplastia cirúrgica em lactente.
D
Persistência da veia cava superior esquerda; conduta expectante.
E
Drenagem anômala de veias pulmonares total; correção cirúrgica total com reimplante do coletor em átrio esquerdo.
Resolver
Comentários
0
×
Cadernos
×
Flashcards
×
Estatísticas
×
Reportar um erro
×
Provas
Questão presente nas seguintes provas
Médico - Cardiologia Pediátrica
40 Questões
Resolver Prova
Publicar
Responder
Qual o problema da questão?
Selecione uma opção
Questão Desatualizada
Questão Repetida
Gabarito Errado
Outros Motivos
Mensagem
Enviar
Acessar
Criar Conta
Acesse sua Conta
Google
Facebook
Esqueci minha senha
Acessar
Ainda não tem conta?
Crie uma
!
Crie uma Conta
Criar Conta
Olá, para continuar, precisamos criar uma conta!
É
rápido
e
grátis
.
Google
Facebook
Concordo com os
Termos de Uso
Criar
Já tem uma conta?
Acesse aqui