Magna Concursos
4063634 Ano: 2026
Disciplina: Medicina
Banca: FUVEST
Orgão: USP
Provas:
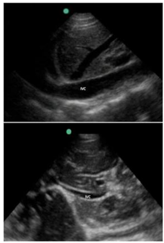
Lactente, 4 meses de vida, 6 kg, é admitido com suspeita de sepse grave. Está hipotenso com PA de 55x35 mmHg, FC de 180 bpm, extremidades frias e tempo de enchimento capilar prolongado. Foi realizado ultrassom dirigido (POCUS) de leito apresentado na imagem a seguir, demonstrando a veia cava inferior na expiração e na inspiração, além do ventrículo esquerdo hiperdinâmico com cavidades pequenas e ausência de derrame pericárdico ou outras anormalidades estruturais significativas.

Enunciado 4536521-1

Com base nos achados do ultrassom e na avaliação clínica, qual é a interpretação fisiopatológica mais provável e qual conduta deve ser realizada inicialmente?
 

Provas

Questão presente nas seguintes provas

Médico

60 Questões