3799909
Ano: 2024
Disciplina: Odontologia
Banca: Avança SP
Orgão: Pref. São Lourenço Serra-SP
Disciplina: Odontologia
Banca: Avança SP
Orgão: Pref. São Lourenço Serra-SP
Provas:
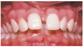
Além de avaliar a oclusão de um paciente, o
ortodontista examina o alinhamento específico
dos dentes e arcos.
Dentre os problemas mais comuns de mau alinhamento, o que se caracteriza por um aumento vertical da sobreposição dos incisivos superiores, onde os incisivos inferiores podem não ser visíveis (como o exemplo da figura acima); é denominado:
Dentre os problemas mais comuns de mau alinhamento, o que se caracteriza por um aumento vertical da sobreposição dos incisivos superiores, onde os incisivos inferiores podem não ser visíveis (como o exemplo da figura acima); é denominado: