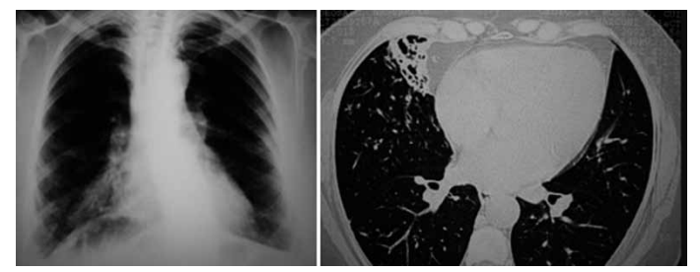
Paciente 37 anos, masculino, com queixa de tosse crônica, expectoração esbranquiçada e diversos episódios
de pneumonias que foram tratadas com antibiótico nos
últimos 5 anos. Refere ter feito investigação para tuberculose, inclusive com “endoscopia dos pulmões”, que
resultou negativa. Apresenta radiografia e tomografia de
tórax recentes a seguir:

(Arquivo pessoal; imagens usadas com autorização)
O diagnóstico e a conduta são, respectivamente:

(Arquivo pessoal; imagens usadas com autorização)
O diagnóstico e a conduta são, respectivamente: