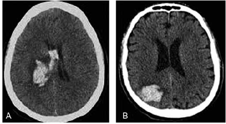
Um paciente de 65 anos é trazido ao pronto-socorro com início súbito de hemiparesia direita e afasia. A tomografia computadorizada (TC) de crânio encontra-se a seguir. O paciente tem histórico de hipertensão arterial sistêmica, mas não está em uso regular da medicação prescrita.

(htpps://sanarmed.com/hemorragia-intraparenquimatosa-casoclinico- e-discussao-radiologica-colunistas/)
Qual abordagem terapêutica inicial é mais apropriada para esse caso?