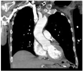
A imagem exibe uma reconstrução de um exame de imagem do tórax, observe:

Considerando a técnica utilizada e a densidade das estruturas ósseas, assinale a alternativa que define CORRETAMENTE o tipo de exame realizado:
A imagem exibe uma reconstrução de um exame de imagem do tórax, observe:

Considerando a técnica utilizada e a densidade das estruturas ósseas, assinale a alternativa que define CORRETAMENTE o tipo de exame realizado: