Magna Concursos
Questões
Planos
Entrar
Entrar
Criar Conta
Respondida
3622303
Ano:
2025
Disciplina:
Medicina
Banca:
UPENET/IAUPE
Orgão:
SES-PE
Provas:
Residência em Medicina - Áreas Básicas com Acesso Direto
Provas
×
Gastroenterologia
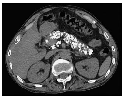
Homem, 45 anos, etilista por 10 anos. Na investigação de uma dor abdominal, realizou a TC abaixo.
Qual sintoma NÃO é esperado nessa situação?
A
Dor de difícil controle
B
Diarreia
C
Icterícia
D
Perda de peso
E
Hipoglicemia
Resolver
Comentários
0
×
Cadernos
×
Flashcards
×
Estatísticas
×
Reportar um erro
×
Provas
Questão presente nas seguintes provas
Residência em Medicina - Áreas Básicas com Acesso Direto
100 Questões
Resolver Prova
Publicar
Responder
Qual o problema da questão?
Selecione uma opção
Questão Desatualizada
Questão Repetida
Gabarito Errado
Outros Motivos
Mensagem
Enviar
Acessar
Criar Conta
Acesse sua Conta
Google
Facebook
Esqueci minha senha
Acessar
Ainda não tem conta?
Crie uma
!
Crie uma Conta
Criar Conta
Olá, para continuar, precisamos criar uma conta!
É
rápido
e
grátis
.
Google
Facebook
Concordo com os
Termos de Uso
Criar
Já tem uma conta?
Acesse aqui