Magna Concursos
Considere o seguinte caso para responder à questão.
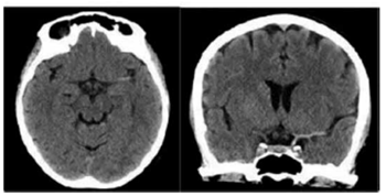
Um paciente do sexo masculino, 63 anos, é trazido ao pronto -socorro pelos familiares, apresentando afasia e diminuição da força no membro superior direito, com início dos sintomas há cerca de 2 horas. Realizou tomografia computadorizada (TC) de crânio cuja imagem está demonstrada a seguir.
Enunciado 4918708-1
(Arquivo pessoal; imagem usada com autorização)
A melhor conduta para o caso apresentado consiste em
 

Provas

Questão presente nas seguintes provas