Analise o caso clínico a seguir.
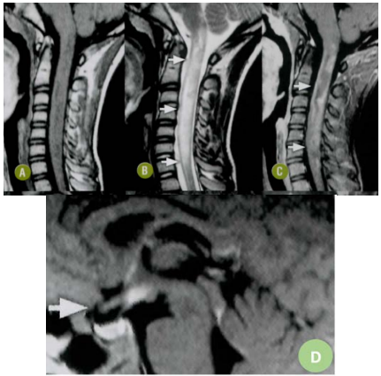
Uma paciente de 26 anos procura o pronto atendimento com queixa de dificuldade visual, seguida de perda de força nos 4 membros e dificuldade de urinar. Seu exame neurológico revelou hemianopsia heterônima, tetraparesia espástica, grau 3, hiperreflexia, hipoestesia com nível cervical para todas as formas e bexigoma. O líquor da paciente apresentou aumento leve de proteína, sem outras alterações no exame de rotina. O exame de Ressonância Magnética (RM) sagital da medula espinal cervical ponderadas em T1 (A), T2 (B) e T1 póscontraste (C) demonstra extensa mielite com hipossinal em T1 e hipersinal em T2, além de impregnação heterogénea ao contraste (setas). E o comprometimento óptico quiasmático é apresentado em detalhe de corte sagital de RM cerebral em FLAIR (seta)(D).
Caso clínico elaborado pelo(a) autor(a). Imagem: Rocha AJ, Vedolin L e Mendonça RA. Encéfalo. Rio de Janeiro. Elsevier, 2012: 657-658. 1.
No caso apresentado, o exame que completa critério diagnóstico para a principal hipótese é
Uma paciente de 26 anos procura o pronto atendimento com queixa de dificuldade visual, seguida de perda de força nos 4 membros e dificuldade de urinar. Seu exame neurológico revelou hemianopsia heterônima, tetraparesia espástica, grau 3, hiperreflexia, hipoestesia com nível cervical para todas as formas e bexigoma. O líquor da paciente apresentou aumento leve de proteína, sem outras alterações no exame de rotina. O exame de Ressonância Magnética (RM) sagital da medula espinal cervical ponderadas em T1 (A), T2 (B) e T1 póscontraste (C) demonstra extensa mielite com hipossinal em T1 e hipersinal em T2, além de impregnação heterogénea ao contraste (setas). E o comprometimento óptico quiasmático é apresentado em detalhe de corte sagital de RM cerebral em FLAIR (seta)(D).
Caso clínico elaborado pelo(a) autor(a). Imagem: Rocha AJ, Vedolin L e Mendonça RA. Encéfalo. Rio de Janeiro. Elsevier, 2012: 657-658. 1.
No caso apresentado, o exame que completa critério diagnóstico para a principal hipótese é