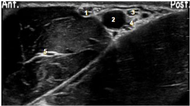
Em relação às técnicas de abordagem de anestesia do plexo braquial, para cirurgias do membro superior, a abordagem axilar é muito aplicada para cirurgias de fraturas do membro superior, sobretudo distais, e confecção de fístulas artériovenosas para realização de hemodiálise.
Baseado na janela ultrassonográfica para essa técnica, relacione a estrutura indicada na imagem à respectiva descrição.

| Estrutura | Descrição |
|---|---|
| (1) Estrutura 1 | ( ) Nervo radial |
| (2) Estrutura 2 | ( ) Nervo musculocutâneo |
| (3) Estrutura 3 | ( ) Artéria axilar |
| (4) Estrutura 4 | ( ) Nervo mediano |
| (5) estrutura 5 | ( ) Nervo ulnar |
A sequência correta dessa associação é: