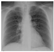
A imagem apresentada abaixo corresponde a
um exame comumente utilizado na avaliação
inicial de doenças torácicas, incluindo
condições pulmonares agudas e crônicas. Com
base nas características visuais da imagem,
assinale a alternativa que indica corretamente o
tipo de exame realizado.
Fonte: ROADDUS, V. Courtney. Murray & Nadel Tratado de Medicina Respiratória.
Fonte: ROADDUS, V. Courtney. Murray & Nadel Tratado de Medicina Respiratória.