Magna Concursos

Analise a imagem a seguir.

Enunciado 4933052-1

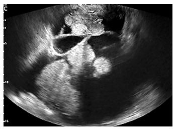
Com uma tumoração com essas características, em ultrassonografia endovaginal de uma mulher com 65 anos de idade é possível fazer a hipótese diagnóstica de

 

Provas

Questão presente nas seguintes provas