Magna Concursos
3698217 Ano: 2025
Disciplina: Medicina
Banca: VUNESP
Orgão: Pref. Campinas-SP
Provas:
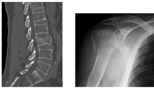
Uma paciente de 89 anos vem a consultório com histórico de queda após tropeçar no tapete de sua casa, há 10 meses, e ao escorregar no piso de seu banheiro, há 1 semana. Não tem antecedentes mórbidos. Relata somente que faz uso de alendronato 70 mg/semana, há 2 anos. Ela trouxe as radiografias realizadas por ocasião desses dois traumas. Seus exames laboratoriais estão normais.

Enunciado 4448839-1

Em função desse achado, foi realizada uma análise por meio da ferramenta Frax 2.0.

Enunciado 4448839-2

Diante do exposto, recomenda-se como tratamento para a paciente
 

Provas

Questão presente nas seguintes provas

Médico - Geriatria

50 Questões