Magna Concursos
Questões
Planos
Entrar
Entrar
Criar Conta
Respondida
3834123
Ano:
2024
Disciplina:
Medicina
Banca:
HL
Orgão:
Pref. Iturama-MG
Provas:
Médico
Provas
×
Mastologia
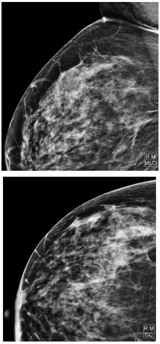
RMC, 58 anos, assintomática, comparece a unidade com resultado de mamografia de screening realizada há cerca de 3 meses. Relata que exames não possuem laudos pois os perdeu em uma enchente. Considerando as imagens, assinale a conduta mais adequada:
A
Encaminhar a paciente para realização de mastectomia radical.
B
Solicitar nova mamografia em 6 meses.
C
Tranquilizar a paciente, orientar benignidade do quadro e manter seguimento habitual.
D
Solicitar core biopsy, anatomopatológico e considerar imuno-histoquímica.
Resolver
Comentários
0
×
Cadernos
×
Flashcards
×
Estatísticas
×
Reportar um erro
×
Provas
Questão presente nas seguintes provas
Médico
30 Questões
Resolver Prova
Publicar
Responder
Qual o problema da questão?
Selecione uma opção
Questão Desatualizada
Questão Repetida
Gabarito Errado
Outros Motivos
Mensagem
Enviar
Acessar
Criar Conta
Acesse sua Conta
Google
Facebook
Esqueci minha senha
Acessar
Ainda não tem conta?
Crie uma
!
Crie uma Conta
Criar Conta
Olá, para continuar, precisamos criar uma conta!
É
rápido
e
grátis
.
Google
Facebook
Concordo com os
Termos de Uso
Criar
Já tem uma conta?
Acesse aqui