Magna Concursos
3986160 Ano: 2025
Disciplina: Medicina
Banca: VUNESP
Orgão: SES-SP

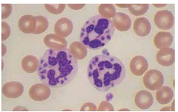
Observe a imagem a seguir:

Enunciado 4918614-1

(Arquivo pessoal; imagem usada com autorização)

A imagem pode ser observada na

 

Provas

Questão presente nas seguintes provas