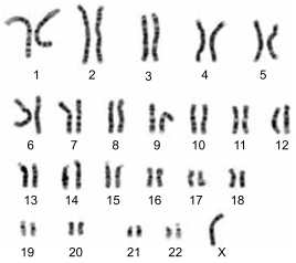
O cariótipo, conjunto de cromossomos de uma espécie,
pode ser organizado em uma representação, denominada cariograma, como mostrado na figura a seguir:
(www.vivendociencias.com.br)
A análise desse cariograma indica que se trata de uma pessoa do sexo
(www.vivendociencias.com.br)
A análise desse cariograma indica que se trata de uma pessoa do sexo