Magna Concursos
4069570 Ano: 2026
Disciplina: Radiologia
Banca: VUNESP
Orgão: UNIFIPA
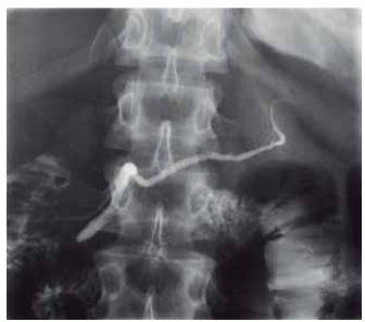
O exame radiológico contrastado com iodo, colangiopancreatografia retrógrada endoscópica, permite a visualização dos ductos biliares e pancreáticos. O ducto que encaminha uma secreção rica em bicarbonato de sódio, tripsina, quimotripsina, lipase, amilase e proteases, ao sistema digestório, é demonstrado pela radiografia a seguir:


Enunciado 4560246-1

(Arquivo pessoal; imagem usada com autorização)

A imagem refere-se ao ducto
 

Provas

Questão presente nas seguintes provas