Observe a imagem a seguir.

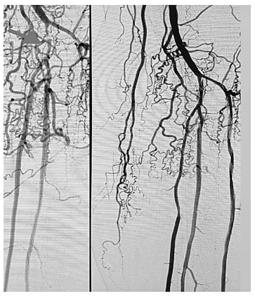
A imagem acima corresponde a uma angiografia digital demonstrando o pré e pós procedimento de angioplastia de membro inferior esquerdo. Qual é a estrutura anatômica assinalada em seta?
Provas
Questão presente nas seguintes provas