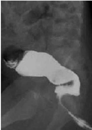
Recém-nascido a termo, sexo masculino, com 27 dias de vida, apresenta distensão abdominal desde o nascimento e vômitos há dois dias. A mãe do paciente relata que a primeira evacuação ocorreu aos três dias de vida e que, desde então, ele somente evacua após aplicação de supositório de glicerina, via retal, que vem sendo realizada a cada três dias, conforme orientação médica. Ao exame físico: irritado, pouco desidratado, abdome distendido, sem reação peritoneal. Toque retal com eliminação de fezes explosivas em grande quantidade. Após realização de lavagem intestinal com solução fisiológica, houve saída de grande quantidade de fezes e relevante melhora da distensão abdominal. O paciente realizou enema opaco, conforme imagem a seguir:

O próximo passo na condução desse caso deve ser