Magna Concursos
3654443 Ano: 2025
Disciplina: Medicina
Banca: VUNESP
Orgão: UNIFESP
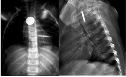
Menina de 3 anos, há uma hora, engoliu um corpo estranho enquanto brincava sozinha em seu quarto. Ninguém presenciou a ingestão. Desde então, apresenta disfagia, sem sialorreia e sem nenhum outro sintoma. As radiografias de tórax realizadas estão apresentadas na imagem a seguir.

Enunciado 4377314-1
(Arquivo pessoal; imagem usada com autorização)

A conduta é:
 

Provas

Questão presente nas seguintes provas

Médico - Cirurgia Pediátrica

40 Questões