
Internet: Advanced Trauma Life Support. Tenth Edition. Copyright© 2018 American College of Surgeons 633 N. Saint Clair Street Chicago, IL 60611-3211.
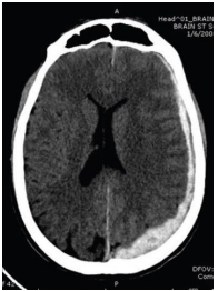
Paciente vítima de traumatismo cranioencefálico, após avaliação primária e secundária, realiza um exame de imagem. No que diz respeito ao caso hipotético e à interpretação do exame de imagem, assinale a alternativa que apresenta a hipótese diagnóstica correta.