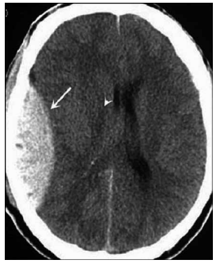
Homem de 45 anos foi atendido na emergência após
sofrer uma queda de altura. A tomografia de crânio encontra-se a seguir.
(https://www.google.com/url?sa=i&url=https%3A%2F%2Fwww.scielo.br%2Fj%2F rb%2Fa%2Fq8FxMFHx6VyBjmLvJnVNChf%2F%3Flang%3Dpt&psig=AOvVaw2 ATnROKFO8InWPDwkvIStP&ust=1739989651593000&source=images&cd=vfe &opi=89978449&ved=0CBQQjRxqFwoTCKjX2dzszYsDFQAAAAAdAAAAABAE)
Com base nesses achados, qual é o diagnóstico mais provável?
(https://www.google.com/url?sa=i&url=https%3A%2F%2Fwww.scielo.br%2Fj%2F rb%2Fa%2Fq8FxMFHx6VyBjmLvJnVNChf%2F%3Flang%3Dpt&psig=AOvVaw2 ATnROKFO8InWPDwkvIStP&ust=1739989651593000&source=images&cd=vfe &opi=89978449&ved=0CBQQjRxqFwoTCKjX2dzszYsDFQAAAAAdAAAAABAE)
Com base nesses achados, qual é o diagnóstico mais provável?