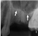
Marque a alternativa que apresenta o reparo anatômico destacado na imagem abaixo (setas):

Provas
Questão presente nas seguintes provas
Marque a alternativa que apresenta o reparo anatômico destacado na imagem abaixo (setas):
