Magna Concursos
3986317 Ano: 2025
Disciplina: Medicina
Banca: VUNESP
Orgão: SES-SP
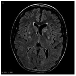
Paciente do sexo masculino, de 49 anos, portador de HIV diagnosticado há dez anos, interrompeu a TARV há três anos. Procura o pronto-socorro com cefaleia progressiva há quatro semanas, associada a febre, sendo internado na unidade de terapia intensiva por confusão mental e fraqueza em hemicorpo esquerdo. Ao exame físico: desorientado, paresia grau 3/5 em membro superior esquerdo, sem rigidez de nuca. Realizou a ressonância de crânio mostrada a seguir:
Enunciado 4918796-1 (Arquivo pessoal; imagem usada com autorização)

Qual é o diagnóstico clínico associado?
 

Provas

Questão presente nas seguintes provas