Magna Concursos
3766045 Ano: 2025
Disciplina: Medicina
Banca: VUNESP
Orgão: EsFCEx

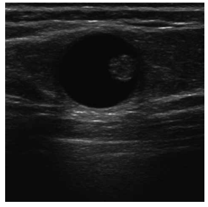
Analise o caso a seguir para responder às questões de 30 a 32.

Uma paciente de 52 anos realiza ultrassonografia de mamas de rotina. O exame evidencia uma alteração focal na mama esquerda, conforme mostrado na figura a seguir:

Enunciado 4557062-1

Com base no caso e na imagem, qual a conduta mais adequada?

 

Provas

Questão presente nas seguintes provas

CFO-SSau - Médico/Mastologia

50 Questões