Magna Concursos
3986427 Ano: 2025
Disciplina: Medicina
Banca: VUNESP
Orgão: SES-SP
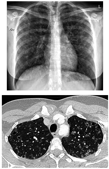
Mulher de 26 anos tem história de tosse crônica com secreção amarelada associada a dispneia ao subir escadas rapidamente. Ela fuma trinta cigarros por dia, com histórico de 13 anos-maço. Os testes de função pulmonar revelam (% do previsto): VEF1: 94%; capacidade vital forçada: 94%; capacidade pulmonar total: 107%; capacidade pulmonar de difusão de monóxido de carbono (TLCO): 57%. A radiografia e tomografia realizadas são mostradas a seguir:
Enunciado 4918945-1
O exame que mais provavelmente deve confirmar a principal hipótese diagnóstica é
 

Provas

Questão presente nas seguintes provas