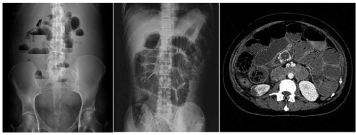
Um homem de 66 anos, com histórico de três laparotomias prévias por cirurgias abdominais há mais de 10 anos, apresenta dor abdominal difusa, náuseas, vômitos biliosos e ausência de evacuação há 48 horas. No exame físico, o abdome está distendido, com ruídos hidroaéreos metálicos. Após ressuscitação volêmica realizada no pronto atendimento, o paciente é internado para continuidade do tratamento. A radiografia simples de abdome e tomografia computadorizada (TC) do abdome estão demonstradas a seguir.

Com base no caso clínico e na radiografia apresentados, assinale a alternativa que indica a conduta mais apropriada nesse caso.