Magna Concursos
3986131 Ano: 2025
Disciplina: Medicina
Banca: VUNESP
Orgão: SES-SP
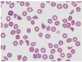
Paciente sexo feminino, 56 anos, iniciou com tontura e cefaleia com melhora espontânea. Apresentou quadro semelhante sete dias após o primeiro episódio associado a anemia e plaquetopenia, sendo então encaminhada para o nosso hospital. Evoluiu com confusão mental, realizando TC de crânio sem evidência de lesões isquêmicas. Nos exames, apresentou Hb 8,8 g/dL, plaquetas 14.000/mm3 , bilirrubina total 1,8 mg/dL; bilirrubina indireta 1,2 mg/dL, Coombs Direto negativo, TTPA 24,2 seg; RNI 1,1 fibrinogênio 288 mg/dL, ureia 72 mg/dL e creatinina 1,45 mg/dL. Realizada BMO mostrando normocelularidade, sem fibrose reticulínica e cariótipo 46,XX. Evoluiu com déficit neurológico focal à esquerda, sendo constatado AVCi por RNM.

Esfregaço de sangue periférico 
Enunciado 4918571-1
(Arquivo pessoal; imagem usada com autorização)

A hipótese diagnóstica mais provável e a conduta inicial mais adequada são, respectivamente:
 

Provas

Questão presente nas seguintes provas