Magna Concursos
3620609 Ano: 2025
Disciplina: Radiologia
Banca: SARAH
Orgão: Rede SARAH
Provas:

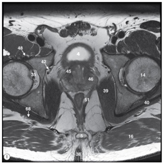
Observa a imagem a seguir.

Enunciado 4245415-1

Na RM acima, ponderada em T2, os números 4, 45 e 46 equivalem às seguintes estruturas:

 

Provas

Questão presente nas seguintes provas

Biomédico

60 Questões