Magna Concursos
3743179 Ano: 2023
Disciplina: Medicina
Banca: UFRN
Orgão: CBM-RN

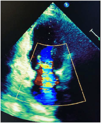
Mulher de 49 anos procurou o médico de família e comunidade, apresentando queixa de dispneia progressiva aos esforços, sendo identificado sopro cardíaco ao exame físico.

Realizou o ecocardiograma reproduzido abaixo.

Enunciado 4337218-1

Considerando esse caso,

 

Provas

Questão presente nas seguintes provas