Magna Concursos
4028953 Ano: 2026
Disciplina: Medicina
Banca: VUNESP
Orgão: Pref. São José Rio Preto-SP
Provas:
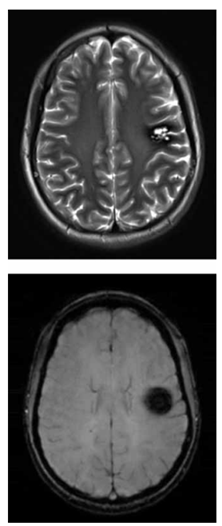
Adolescente de 16 anos realiza exame de imagem por ressonância magnética do crânio para investigação de epilepsia focal. O exame demonstra a alteração a seguir (imagem ponderada em T2 e imagem ponderada em suscetibilidade magnética (SWI), respectivamente):

Enunciado 4443569-1
(Arquivo pessoal; imagens usadas com autorização)

Considerando o exposto, é correto afirmar que o achado das imagens é compatível com
 

Provas

Questão presente nas seguintes provas

Médico - Neuropediatria

40 Questões