
Internet: Stell and Maran’sTextbook of Head and Neck Surgery and Oncology Fifth edition; 2012.
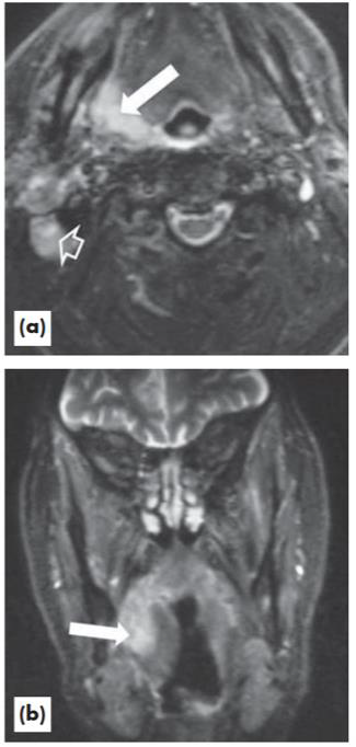
Com relação ao sítio da lesão apresentada na imagem (“a” plano axial; “b” plano coronal), bem como as estruturas identificadas e destacadas, assinale alternativa correta.