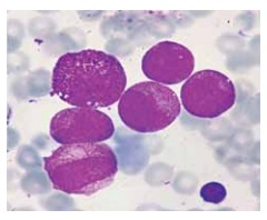
Tipo de leucemia aguda que ocorre quando há uma translocação entre os cromossomos 15 e 17, acontecendo,
assim, um gene anormal e causando uma infiltração na
medula óssea deste tipo celular.
Essas células anormais produzem quantidades excessivas de um fator que ativa o processo de coagulação do sangue e de citocinas. Todo esse excesso faz com que também haja uma enorme produção de trombina e acaba por gerar diversos coágulos sanguíneos, o que aumenta o risco de trombose.
(Arquivo pessoal; imagem usada com autorização)
De qual celularidade trata o enunciado?
Essas células anormais produzem quantidades excessivas de um fator que ativa o processo de coagulação do sangue e de citocinas. Todo esse excesso faz com que também haja uma enorme produção de trombina e acaba por gerar diversos coágulos sanguíneos, o que aumenta o risco de trombose.
(Arquivo pessoal; imagem usada com autorização)
De qual celularidade trata o enunciado?
Provas
Questão presente nas seguintes provas
Médico - Patologia Clínica/Medicina Laboratorial
50 Questões