Magna Concursos
3654501 Ano: 2025
Disciplina: Medicina
Banca: VUNESP
Orgão: UNIFESP
Provas:
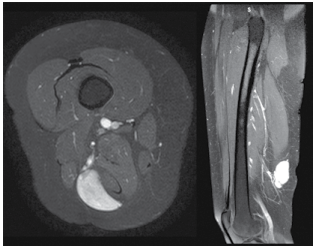
Uma paciente de 36 anos vem ao ambulatório de cirurgia vascular por apresentar nodulação em face posterior de coxa, depressível, pouco dolorosa e relacionada a ortostase. Como propedêutica complementar, a paciente já traz uma angioressonância com imagens de interesse apresentadas na figura a seguir:

Enunciado 4377372-1
(Arquivo pessoal; imagem usada com autorização)

A partir da análise das imagens, assinale a alternativa que corresponde ao diagnóstico em questão.
 

Provas

Questão presente nas seguintes provas

Médico - Cirurgia Vascular

40 Questões