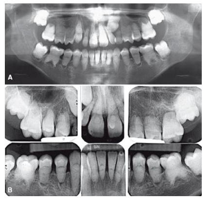
As imagens radiográficas extraoral (A) e intraoral (B) mostram raízes curtas e pouco desenvolvidas,
câmaras pulpares e canais radiculares obliterados, além de osteíte periapical rarefaciente associada.
Observe a meia-lua ou a forma “semilunar” das câmaras pulpares.
Essas características presentes nas imagens referem-se à alteração de desenvolvimento dos órgãos dentários conhecida como:
Essas características presentes nas imagens referem-se à alteração de desenvolvimento dos órgãos dentários conhecida como:
Provas
Questão presente nas seguintes provas
Cirurgião-Dentista
60 Questões
Cirurgião-Dentista - PNE
60 Questões