A hematologia de animais silvestres é cada vez mais comum no laboratório de
patologia clínica veterinária devido ao crescente aumento de pets não convencionais, além da
avaliação sanitária dos programas de bioconservação. No hemograma de répteis, por exemplo, a
avaliação do esfregaço sanguíneo, com enfoque na morfologia, deve ser criteriosamente realizada
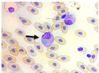
considerando as particularidades das espécies e dos grupos taxonômicos. Analise a imagem abaixo
referente a um esfregaço:
Fotomicrografia de um esfregaço de sangue periférico de Boa constrictor constrictor. Corante Wright-Giemsa, objetiva de 1000x em imersão. Fonte: arquivo pessoal.
Qual é o significado da célula apontada pela seta no esfregaço de sangue periférico de uma jiboia-comum (Boa constrictor constrictor)?
Fotomicrografia de um esfregaço de sangue periférico de Boa constrictor constrictor. Corante Wright-Giemsa, objetiva de 1000x em imersão. Fonte: arquivo pessoal.
Qual é o significado da célula apontada pela seta no esfregaço de sangue periférico de uma jiboia-comum (Boa constrictor constrictor)?