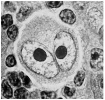
Uma paciente de 21 anos de idade desenvolve adenomegalias
cervicais bilaterais, com gânglios indolores e de consistência
elástica. Além disso, ela vem apresentando febrícula diária,
prurido e sudorese. Foi feita biópsia de um gânglio, cujo aspecto
histopatológico está mostrado a seguir.
O dianóstico dessa criança é
O dianóstico dessa criança é
Provas
Questão presente nas seguintes provas