Magna Concursos
3951198 Ano: 2025
Disciplina: Medicina
Banca: FUVEST
Orgão: USP
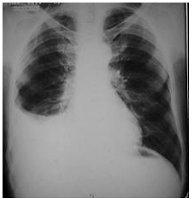
Homem, 48 anos de idade, tabagista de longa data, comparece na Unidade Básica de Saúde (UBS) por estar mais cansado que o habitual em esforços cotidianos. Em radiografia realizada após a primeira consulta, o médico percebe o achado apresentado a seguir:

Enunciado 4806630-1

Em relação ao caso descrito, a melhor conduta é:
 

Provas

Questão presente nas seguintes provas