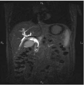
Mulher de 51 anos, portadora de obesidade grau 1 e diabetes mellitus, procura atendimento por queixa de dor
intermitente em hipocôndrio direito há 4 dias, associada à colúria e acolia fecal nas últimas 24 horas. Nega febre. Ao
exame físico, apresenta-se ictérica (2+/4+), com dor à palpação em hipocôndrio direito e Murphy negativo. Exames
laboratoriais: BT 5,2mg/dL (BD 4,3mg/dL), FA 420 U/L, GGT 610 U/L, TGO 86 U/L, TGP 104 U/L, amilase 30 U/L,
lipase 55 U/L, leucometria 8.900/mm

Diante do achado da imagem, qual a conduta mais adequada?