Magna Concursos
3986437 Ano: 2025
Disciplina: Medicina
Banca: VUNESP
Orgão: SES-SP
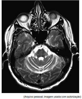
Homem de 56 anos apresenta quadro de tremor de repouso bilateral nos membros superiores há seis meses. Ao exame físico, apresentava tremor de repouso bilateral de frequência moderada, ligeiramente mais acentuado no membro superior direito do que no esquerdo, e rigidez em roda dentada bilateral, que parecia ser igual em ambos os membros; bradicinesia significativa que afeta ambos os lados do corpo. Foi-lhe prescrita levodopa, que teve pouco efeito sobre os sintomas. No acompanhamento, um ano depois, ele relata instabilidade significativa na marcha. Nesse momento, o exame mostra dismetria bilateral, e sua marcha é ampla e ligeiramente cambaleante. Uma ressonância magnética (imagem axial ponderada em T2) é realizada e mostrada a seguir:
Enunciado 4918966-1
Qual é o diagnóstico mais provável para esse paciente?
 

Provas

Questão presente nas seguintes provas