Magna Concursos
Questões
Planos
Entrar
Entrar
Criar Conta
Respondida
3654141
Ano:
2025
Disciplina:
Medicina
Banca:
VUNESP
Orgão:
UNIFESP
Provas:
Médico - Cardiologia Pediátrica
Provas
×
Cardiologia
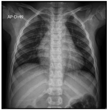
Considere a imagem a seguir.
(Arquivo pessoal; imagens usadas com autorização)
Diante do exposto, assinale a alternativa que apresenta corretamente qual é o tratamento realizado por esse paciente.
A
Comissurotomia pulmonar.
B
Aortoplastia e colocação de
stent
.
C
Arterioplastia de pulmonar direita por cateter-balão e colocação de
stent
.
D
Bandagem de artérias pulmonares.
E
Colocação de prótese implantável em posição tricúspide (
valve in valve
).
Resolver
Comentários
0
×
Cadernos
×
Flashcards
×
Estatísticas
×
Reportar um erro
×
Provas
Questão presente nas seguintes provas
Médico - Cardiologia Pediátrica
40 Questões
Resolver Prova
Publicar
Responder
Qual o problema da questão?
Selecione uma opção
Questão Desatualizada
Questão Repetida
Gabarito Errado
Outros Motivos
Mensagem
Enviar
Acessar
Criar Conta
Acesse sua Conta
Google
Facebook
Esqueci minha senha
Acessar
Ainda não tem conta?
Crie uma
!
Crie uma Conta
Criar Conta
Olá, para continuar, precisamos criar uma conta!
É
rápido
e
grátis
.
Google
Facebook
Concordo com os
Termos de Uso
Criar
Já tem uma conta?
Acesse aqui