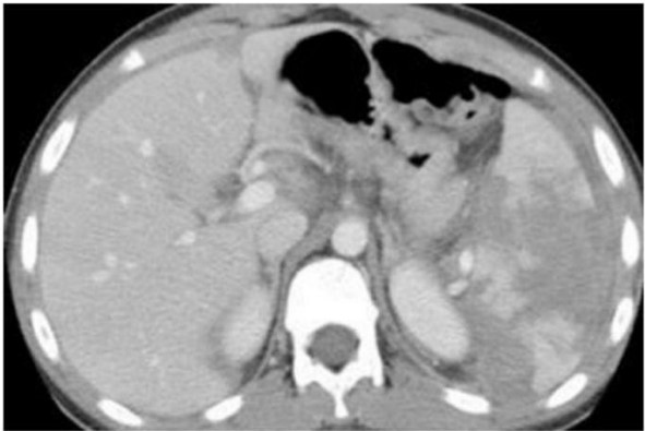
Homem de 25 anos foi vítima de colisão de carro contra muro, sendo atendido inicialmente pela equipe pré-hospitalar com médico (Suporte Avançado). Chega intubado, em ventilação mecânica; pressão arterial: 80 × 60 mmHg; frequência cardíaca: 140 bpm, Glasgow: 6T. Após expansão com 2.000 mL de solução cristaloide: pressão arterial 100 × 70 mmHg, frequência cardíaca: 120 bpm. Indicada então tomografia de abdome, ilustrada a seguir. Após a tomografia, apresentou novamente hipotensão com aumento da taquicardia.

Qual é a opção CORRETA para o tratamento da lesão abdominal deste paciente?