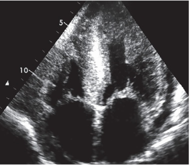
Mulher de 79 anos é encaminhada para realização de ecocardiograma transtorácico com vistas a
esclarecimento de padrão de cardiomiopatia dilatada (ICFEr) associada a proteinúria nefrótica e discretas
equimoses peripalpebrais. O exame complementar revela um brilho intenso no septo interventricular
(fi gura abaixo) associado ao padrão “apical sparing”.
Disponível em: https://portal.afya.com.br/cardiologia/o-ecocardiograma-na-amiloidose-quais-os-achados-tipicos. Acesso em: 12 jan. 2026.
O procedimento diagnóstico que tem elevada sensibilidade para confi rmar a presença da substância depositada nos tecidos do organismo é:
Disponível em: https://portal.afya.com.br/cardiologia/o-ecocardiograma-na-amiloidose-quais-os-achados-tipicos. Acesso em: 12 jan. 2026.
O procedimento diagnóstico que tem elevada sensibilidade para confi rmar a presença da substância depositada nos tecidos do organismo é: