Magna Concursos
3809190 Ano: 2024
Disciplina: Medicina
Banca: VUNESP
Orgão: FICSAE
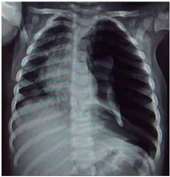
Lactente de 1 ano com diagnóstico de bronquiolite com sinais evidentes de desconforto respiratório. Apesar das medidas de suporte, ausência de melhora clínica e necessidade de intubação (IOT); logo após o procedimento, apresentou melhora da saturação de oxigênio e do padrão respiratório e foi acoplado à ventilação mecânica com parâmetros elevados. Aproximadamente 1 hora depois, iniciou com piora progressiva da saturação (queda sustentada até 78%), diminuição da ausculta pulmonar e da expansibilidade à esquerda, com respiração assincrônica. Averiguada posição da cânula, adequada e não obstruída. Exame físico com aparente piora hemodinâmica, FC = 174 bpm, PA = 64 x 32 (40) mmHg e pulsos finos. Realizada radiografia de tórax a seguir.

Enunciado 4584204-1
 (Arquivo pessoal; imagem usada com autorização) 


Considerando os dados apresentados, assinale a alternativa que descreve a melhor conduta para a condição atual do paciente.
 

Provas

Questão presente nas seguintes provas

Residência em Medicina - Pediatria

50 Questões