3799907
Ano: 2024
Disciplina: Odontologia
Banca: Avança SP
Orgão: Pref. São Lourenço Serra-SP
Disciplina: Odontologia
Banca: Avança SP
Orgão: Pref. São Lourenço Serra-SP
Provas:
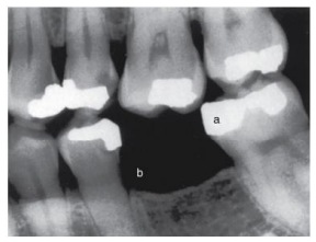
Observe os pontos na imagem sinalizados como
a e b. As áreas onde se encontram os pontos a e
b, são consideradas respectivamente como:

