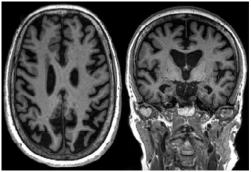
A atrofia da porção mesial do lobo temporal é frequente na Demência por Doença de Alzheimer (DA). A escala analógica visual MTA (mesial temporal atrophy), consegue avaliar a presença da atrofia mesial, e é classificada em números considerando a espessura da fissura coroidea e do corno temporal e a altura do hipocampo, e tem sensibilidade e especificidade de cerca de 85% para o diagnóstico de DA. Analise a imagem de ressonância abaixo.

Pode-se considerar que a imagem da ressonância acima, corresponde a qual número MTA?