Observe a imagem a seguir:
(Arquivo pessoal; imagem usada com autorização)
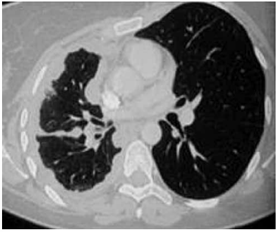
A imagem mostra um exame de tomografia de tórax que demonstra espessamento pleural > 1,0 cm, difuso, irregular e que se estende à pleural mediastinal, com envolvimento do plano cissural e com redução de volume do hemitórax comprometido.
O quadro é fortemente sugestivo de
(Arquivo pessoal; imagem usada com autorização)
A imagem mostra um exame de tomografia de tórax que demonstra espessamento pleural > 1,0 cm, difuso, irregular e que se estende à pleural mediastinal, com envolvimento do plano cissural e com redução de volume do hemitórax comprometido.
O quadro é fortemente sugestivo de
Provas
Questão presente nas seguintes provas
Médico - Cirurgia Torácica/Cirurgia Oncológica
40 Questões