
Fonte: N Engl J Med 2024;391:640.
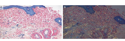
Um homem de 55 anos apresenta lesões purpúricas nas pálpebras há dois anos. Ele nega sentir dor local, prurido ou qualquer trauma recente. Evoluindo com perda de peso, fadiga e febre baixa intermitente não aferida, além de dores musculares e episódios ocasionais de infecções respiratórias. Ele relata que, na última semana, houve uma piora significativa de seu quadro, apresentando olhos arroxeados escuros associado a edema periorbital. Foi realizada uma biópsia da pálpebra, de acordo com a imagem apresentada.
Considerado o quadro clínico e a interpretação da imagem histopatológica, assinale a alternativa que apresenta o diagnóstico mais provável e o exame laboratorial, provavelmente alterado, que auxilia na hipótese diagnóstica, respectivamente.