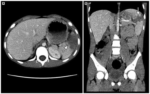
Menina de nove anos caiu de uma altura de mais de 2 metros. Foi submetida aos cuidados de acordo com protocolo ATLS. Encontra-se estável hemodinamicamente após infusão de Ringer Lactato 20 ml/kg. Ao exame físico: hematoma em hipocôndrio esquerdo. Realizou-se tomografia computadorizada de abdome, conforme imagem a seguir:

A classificação de trauma esplênico, de acordo com a Associação Americana de Cirurgia do Trauma (AAST) é